• Lösungen
      • Praxis- und Laborplanung
        • existKONZEPT
        • Einrichtung
        • Geräte
      • Praxisbörse
        • Objekt Fribourg
        • Objekt Bern
        • Objekt Rheintal
      • Behandlungseinheiten
        • KAVO Estetica TM E80T
        • kavo uniQa
        • XO CARE XO FLOW
      • CAD/CAM
        • SprintRay 3D Druck
        • 3Shape Trios 4
        • Sirona inLab Systeme
        • Dentsply Sirona Chairside Systeme
        • Primescan 2
      • Röntgen
        • Dentsply Sirona Orthophos SL 3D
        • Dürr Dental VistaVox S
        • Orangedental Green X 8
      • Hygiene
        • Dentsply Sirona DAC Universal
        • Melag Careclave
        • Melag Melatherm­­® 10 Evolution
        • Melag Vacuklav® 40B+
      • Prophylaxe
        • Acteon Prophylaxe Power Paket
        • EMS Propylaxis Master
        • EMS Airflow One
        • EMS Guided Biofilm Therapy
        • Dürr MyLunos Duo
      • Chirurgie
        • acteon piezotome cube
        • Dürr Dental VC 65
        • NSK Surgic Pro2
      • demadeals
    • Shop
      • Praxis
        • Abformmaterialien
        • Desinfektion, Pflege und Sterilisation
        • Augen-, Gesichts- und mundschutz
        • Einwegartikel
        • Handschuhe
        • Füllungen und Hilfsmittel
        • Hilfsmittel für Füllungen
        • Glaswaren
        • Medikamente und Medizinprodukte
        • Prophylaxe
        • Instrumente
        • Rotierende Instrumente
        • Endodontie
        • Röntgen
        • CAD / CAM
        • Praxisorganisation
      • Labor
        • Ausarbeiten und Polieren
        • KFO
        • CAD / CAM
        • Modellherstellung
        • Desinfektion und Einwegartikel
        • Modellieren und Tiefziehen
        • Einbetten, Gießen und Löten
        • Verblendtechnik
        • Instrumente
        • Zähne und Prothetik
      • Praxisgeräte
        • Hand- und Winkelstücke & Turbinen
        • Geräte zur Pflege von Hand- und Winkelstücke
        • Chirurgische Bohrantriebe
        • Autoklaven und Sterilisatoren
        • Instrumentenreinigung und -desinfektion
        • Folienschweißgeräte
        • Prophylaxe
        • Endodontie
        • HF Chirurgie
        • Lichtpolymerisation
        • Intraorale Kamerasysteme
        • Mischgeräte
        • Röntgen
        • Reinigung für Zahnersatz
      • Laborgeräte
        • Keramik
        • Arbeitsvorbereitung
        • CAD / CAM
        • Gipsbereich
        • Technik
      • Pluline
      • Hersteller
    • Service
      • Technischer Service
      • Prüfungstermine
      • Wartung/Reparatur
      • Fernwartung
      • Regeneration Mischbettharzpatrone
      • Hygiene
        • Digitale Hygienedokumentation
        • INOXKonzept
        • Fortbildung
      • Training
        • Fortbildung
    • Kontakt
    • Übersicht Lösungen
    • Praxis- und Laborplanung
      • existKONZEPT
      • Einrichtung
      • Geräte
    • Praxisbörse
      • Objekt Fribourg
      • Objekt Bern
      • Objekt Rheintal
    • Behandlungseinheiten
      • KAVO Estetica TM E80T
      • kavo uniQa
      • XO CARE XO FLOW
    • CAD/CAM
      • SprintRay 3D Druck
      • 3Shape Trios 4
      • Sirona inLab Systeme
      • Dentsply Sirona Chairside Systeme
      • Primescan 2
    • Röntgen
      • Dentsply Sirona Orthophos SL 3D
      • Dürr Dental VistaVox S
      • Orangedental Green X 8
    • Hygiene
      • Dentsply Sirona DAC Universal
      • Melag Careclave
      • Melag Melatherm­­® 10 Evolution
      • Melag Vacuklav® 40B+
    • Prophylaxe
      • Acteon Prophylaxe Power Paket
      • EMS Propylaxis Master
      • EMS Airflow One
      • EMS Guided Biofilm Therapy
      • Dürr MyLunos Duo
    • Chirurgie
      • acteon piezotome cube
      • Dürr Dental VC 65
      • NSK Surgic Pro2
    • demadeals
    • Übersicht Shop
    • Praxis
      • Abformmaterialien
      • Desinfektion, Pflege und Sterilisation
      • Augen-, Gesichts- und mundschutz
      • Einwegartikel
      • Handschuhe
      • Füllungen und Hilfsmittel
      • Hilfsmittel für Füllungen
      • Glaswaren
      • Medikamente und Medizinprodukte
      • Prophylaxe
      • Instrumente
      • Rotierende Instrumente
      • Endodontie
      • Röntgen
      • CAD / CAM
      • Praxisorganisation
    • Labor
      • Ausarbeiten und Polieren
      • KFO
      • CAD / CAM
      • Modellherstellung
      • Desinfektion und Einwegartikel
      • Modellieren und Tiefziehen
      • Einbetten, Gießen und Löten
      • Verblendtechnik
      • Instrumente
      • Zähne und Prothetik
    • Praxisgeräte
      • Hand- und Winkelstücke & Turbinen
      • Geräte zur Pflege von Hand- und Winkelstücke
      • Chirurgische Bohrantriebe
      • Autoklaven und Sterilisatoren
      • Instrumentenreinigung und -desinfektion
      • Folienschweißgeräte
      • Prophylaxe
      • Endodontie
      • HF Chirurgie
      • Lichtpolymerisation
      • Intraorale Kamerasysteme
      • Mischgeräte
      • Röntgen
      • Reinigung für Zahnersatz
    • Laborgeräte
      • Keramik
      • Arbeitsvorbereitung
      • CAD / CAM
      • Gipsbereich
      • Technik
    • Pluline
    • Hersteller
    • Übersicht Service
    • Technischer Service
    • Prüfungstermine
    • Wartung/Reparatur
    • Fernwartung
    • Regeneration Mischbettharzpatrone
    • Hygiene
      • Digitale Hygienedokumentation
      • INOXKonzept
      • Fortbildung
    • Training
      • Fortbildung
    Kontakt
    Scanner auslesen
    • Keine Suchergebnisse gefunden
  • Kontakt
    • Login

      Login

      Anmelden
      • Passwort vergessen?

      Sie sind neu im Shop?

      Jetzt registrieren
    Warenkorb 0 Art. 0,00 CHF
Weiter einkaufen
Dein Warenkorb ist leer
Zum Warenkorb
  • Übersicht Lösungen
  • Praxis- und Laborplanung
    • existKONZEPT
    • Einrichtung
    • Geräte
  • Praxisbörse
    • Objekt Fribourg
    • Objekt Bern
    • Objekt Rheintal
  • Behandlungseinheiten
    • KAVO Estetica TM E80T
    • kavo uniQa
    • XO CARE XO FLOW
  • CAD/CAM
    • SprintRay 3D Druck
    • 3Shape Trios 4
    • Sirona inLab Systeme
    • Dentsply Sirona Chairside Systeme
    • Primescan 2
  • Röntgen
    • Dentsply Sirona Orthophos SL 3D
    • Dürr Dental VistaVox S
    • Orangedental Green X 8
  • Hygiene
    • Dentsply Sirona DAC Universal
    • Melag Careclave
    • Melag Melatherm­­® 10 Evolution
    • Melag Vacuklav® 40B+
  • Prophylaxe
    • Acteon Prophylaxe Power Paket
    • EMS Propylaxis Master
    • EMS Airflow One
    • EMS Guided Biofilm Therapy
    • Dürr MyLunos Duo
  • Chirurgie
    • acteon piezotome cube
    • Dürr Dental VC 65
    • NSK Surgic Pro2
  • demadeals
  • Übersicht Shop
  • Praxis
    • Abformmaterialien
    • Desinfektion, Pflege und Sterilisation
    • Augen-, Gesichts- und mundschutz
    • Einwegartikel
    • Handschuhe
    • Füllungen und Hilfsmittel
    • Hilfsmittel für Füllungen
    • Glaswaren
    • Medikamente und Medizinprodukte
    • Prophylaxe
    • Instrumente
    • Rotierende Instrumente
    • Endodontie
    • Röntgen
    • CAD / CAM
    • Praxisorganisation
  • Labor
    • Ausarbeiten und Polieren
    • KFO
    • CAD / CAM
    • Modellherstellung
    • Desinfektion und Einwegartikel
    • Modellieren und Tiefziehen
    • Einbetten, Gießen und Löten
    • Verblendtechnik
    • Instrumente
    • Zähne und Prothetik
  • Praxisgeräte
    • Hand- und Winkelstücke & Turbinen
    • Geräte zur Pflege von Hand- und Winkelstücke
    • Chirurgische Bohrantriebe
    • Autoklaven und Sterilisatoren
    • Instrumentenreinigung und -desinfektion
    • Folienschweißgeräte
    • Prophylaxe
    • Endodontie
    • HF Chirurgie
    • Lichtpolymerisation
    • Intraorale Kamerasysteme
    • Mischgeräte
    • Röntgen
    • Reinigung für Zahnersatz
  • Laborgeräte
    • Keramik
    • Arbeitsvorbereitung
    • CAD / CAM
    • Gipsbereich
    • Technik
  • Pluline
  • Hersteller
  • Übersicht Service
  • Technischer Service
  • Prüfungstermine
  • Wartung/Reparatur
  • Fernwartung
  • Regeneration Mischbettharzpatrone
  • Hygiene
    • Digitale Hygienedokumentation
    • INOXKonzept
    • Fortbildung
  • Training
    • Fortbildung
Kontakt
Scanner auslesen

Orthophos SL 2D / 3D Röntgengerät

Orthophos SL ist das 2D- / 3D-High-End Gerät mit höchster Bildqualität.  Für alle, die mehr wollen.

Neueste Technologien wie der integrierte Direct Conversion Sensor (DCS) definiert den Standard der Panoramabildgebung völlig neu und liefert einzigartig hohe Zeichenschärfe.

Der Namensgeber, die Sharp-Layer-Technologie, sorgt für autofokussierte Panoramaaufnahmen selbst in schwierigen Fällen, im 3D Bereich besticht das Gerät durch flexible Field of Views und zahlreiche Aufnahme Modi.

Höchster Bedienkomfort durch Autopositionierung, intuitive Bedienung
mittels Touchpad und individuell einstellbares Ambient Light sorgen für ein exklusives Look & Feel.

ORTHOPHOS SL

ORTHOPHOS SL

 
Leistungen und Funktionen:
  • Einzigartiger DCS-Sensor mit Autofokus-Funktion für herausragende Aufnahmen in höchster Bildqualität
  • Sharp-Layer-Technologie für die Darstellung in unübertroffener Zeichenschärfe
  • Autopositionierung mit Okklusalaufbiss und Touchpad für jederzeit optimal positionierte Aufnahmen und einfache Reproduzierbarkeit
  • Low-dose- und HD-Funktion, 3D-Aufnahmen im Dosisbereich von 2D-Röntgen, HD-Aufnahme mit bis zu 80 µm Auflösung
  • Umfassende Panorama- und Fernröntgenprogramme für Bissflügel-, Sinus- oder FRS-Aufnahmen, Fernröntgenausleger optional links oder rechts und jederzeit nachrüstbar
  • Sichere und bewährte Patientenpositionierung mit der motorischen Schläfen- und Stirnstütze, automatische Schläfenweitenmessung, Lichtvisiere und stabile Handgriffe
  • Ambient Light erzeugt eine angenehme Atmosphäre mit mehr als 30 Farben
  • inkl. Prüfkörper / Länderset / 2D Lizenzen unbegrenzt / 3D Lizenzen auf 3 begrenzt
  • RCU SL 2D/3D Reconstruktion PC
  • Mit 11 x 10 cm Volumen

 

Preis auf Anfrage!

 

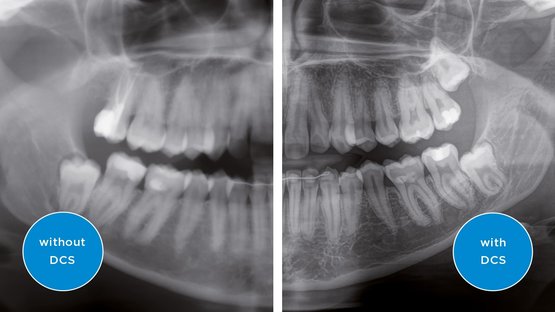
DCS – Zeichenschärfe bis ins Detail

Die DCS-Technologie von Dentsply Sirona ist eine echte Revolution im Panoramaröntgen. Der Direct Conversion Sensor (DCS) wandelt Röntgenstrahlen direkt in elektrische Signale um. Dadurch entstehen keine Signalverluste durch Lichtkonversion. Das bedeutet eine verbesserte Ausbeute an Bildinformationen. Aufnahmen mit einer einzigartig hohen Zeichenschärfe sind das Ergebnis – selbst bei einer extrem niedrigen Dosis. Für mehr Gewissheit bei der Erstellung Ihrer Diagnosen und für Behandlungsergebnisse, die noch präziser und sicherer sind.

Interesse geweckt?

Sie sind an einem Angebot über einen Orthophos SL interessiert und möchten weitere Informationen erhalten? Oder Sie möchten einen individuellen Beratungstermin? Gerne steht Ihnen ein Spezialist für Röntgen und bildgebende Systeme zur Verfügung. Schreiben Sie uns einfach - wir melden uns schnellstmöglich bei Ihnen zurück!

Weitere interessante Themen

Behandlungseinheiten
Praxiseinrichtung
Hygiene
Geräte zur Aufbereitung
CAD/CAM
Abformung, Gestaltung und Fertigung aus einer Hand

Newsletter Anmeldung

Melden Sie sich jetzt für unseren Newsletter an und genießen Sie alle Vorteile.

  • Informationen zu dema dent Aktionen
  • Rabatte und exklusive Angebote
  • Aktuelle News der Dentalbranche
Anmelden
Unternehmen
  • Wer wir sind
  • Buchs/ZH
  • Jobs
Unser Angebot
  • Lösungen
  • Shop
  • Service
  • Praxisbörse
  • PLU°LINE Eigenmarke
  • Mundoline Eigenmarke
Hilfe & Information
  • FAQs (Häufige Fragen)
  • Bestellungen
  • Registrierung
  • Versand
  • Retouren
  • Tutorials
  • Barcodes erstellen
  • Download TeamViewer
Sie haben Fragen?
Bitte kontaktieren Sie unser Kunden-Service-Center.
07:45 - 12:00 Uhr
13:00 - 17:15 Uhr
044 838 65 65
bestellungen@demadent.ch
  • Datenschutz
  • Impressum
  • Disclaimer
  • AGB
  • Cookie-Einstellungen
  • Deutsch
© 2025 dema dent
Deutsch